В Петербурге готовят к выписке уникального пациента без пульса.
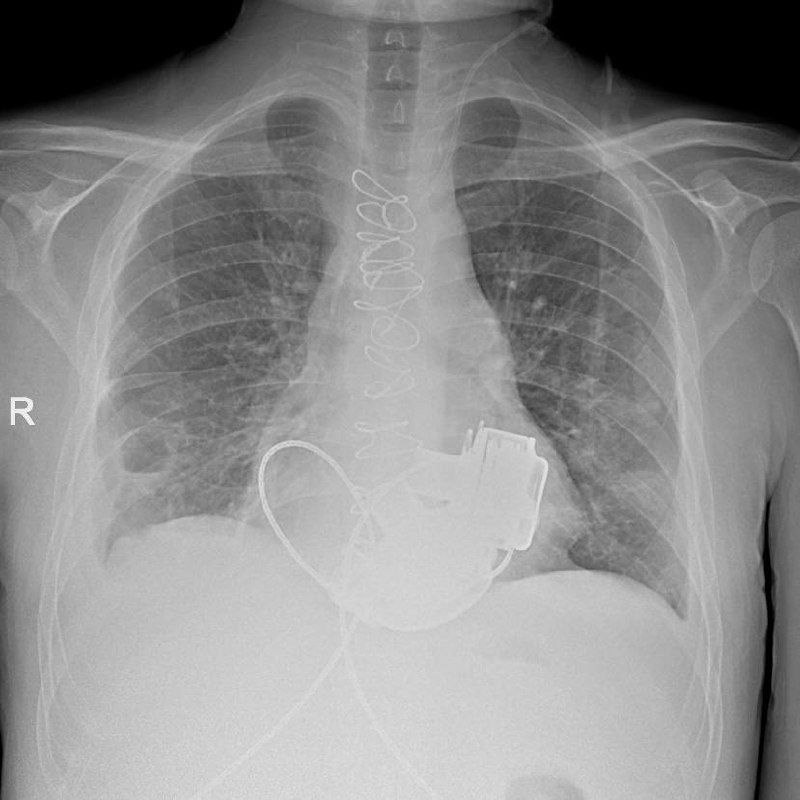
В конце ноября 2025 года ему впервые в России имплантировали сразу два искусственных желудочка сердца.
36-летний Антон поступил в стационар с тяжелейшими диагнозами: кардиомиопатией и терминальной сердечной недостаточностью. Из-за ряда осложнений трансплантация настоящего сердца на тот момент была невозможной.
Имплантация искусственных желудочков — мостик к пересадке сердца, так как позволяет пациенту дожить до спасительной операции, уточнили в комитете здравоохранения Петербурга.



































